Blog
Le fil dentaire permet de nettoyer les espaces situés entre les dents et derrières les fils des bagues inaccessibles aux poils de la brosse à dents
Afin d'éviter les caries un brossage soigneux doit être effectué et complété par l'utilisation de fil dentaire ou de brossettes interdentaires
Après une extraction, le mainteneur d’espace évite que les dents de l’arcade dentaire ne se déplacent eten maintenant l’espace pour les dents à venir
Après préparation de gouttières ajustées à sa dentition, le patient utilise chez lui un gel actif de blanchiment qu'il injecte dans cette gouttière
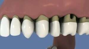
La couronne sur implant recouvre le pilier d'un implant dentaire, comme sur une dent naturelle, afin d’en restaurer l'esthétique et la fonction
L'utilisation de brossettes interdentaires permet un nettoyage approfondi des espaces situés entre les dents et peut éviter une récidive de parodontite
Carie qui se loge entre les dents couronnées et l'implant dentaire











