GROUPE DENTAIRE DU LAC
Chirurgiens dentistes
GROUPE DENTAIRE DU LAC
Chirurgiens dentistes

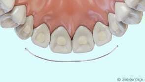
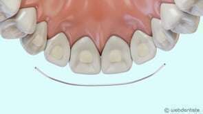
Fil de contention

video-play-icon

Articles similaires

Derniers articles

Prévention : scellement de sillons chez l'enfant

Prévention : scellement de sillons chez l'enfant

18 Déc 2024
Utilisation du fil dentaire

Utilisation du fil dentaire

18 Déc 2024
Remplacement d'un amalgame par un inlay

Remplacement d'un amalgame par un inlay

18 Déc 2024

Catégories

Création par Webdentiste

Connexion